
More Versatile Than Ever – Zolid Bion Now Available in All Heights and Shades. Everything Zirconia Can Do, in a Single Portfolio.
Zolid Bion now offers users a comprehensive portfolio that sets no limits when it comes to height and shade selection.
Date

A true material revolution in the field of all-ceramic zirconia materials:
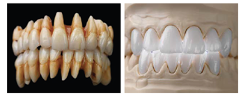
Zolid Bion combines exceptional esthetics with functional safety – without compromise.
The continuous shade gradient, paired with increased incisal translucency, delivers natural esthetics while maintaining structural integrity.
Effective immediately, users have access to a comprehensive Zolid Bion portfolio with no limitations in height or shade. It now includes all disc heights (12, 14, 16, 18, 20, 25, 30 mm) and the full range of shades (16 A-D plus 5 bleach shades). Special focus is placed on the bleach variants and the new 30 mm discs – aligning with current market trends.
Features:
- _The zirconia material revolution: Zolid Bion combines outstanding esthetics with reliable strength — no compromises.
- _A new dimension in esthetics: The five Bleach shades give restorations a fresh, youthful appearance and unmatched brilliance.
- _More freedom in design: Thanks to the 30 mm blank, restorations that require more space can now be fabricated – including the ability to precisely control brightness.
